Raus bei Platzmangel.
Als letzte wachsende Zähne müssen sich Weisheitszähne Platz im Kiefer verschaffen können. Ist die nicht möglich, führt dies zu Komplikationen und eine Entfernung wird nötig. Unser Praxis-Team nimmt sich Ihren Weisheitszähnen sanft und effektiv an.

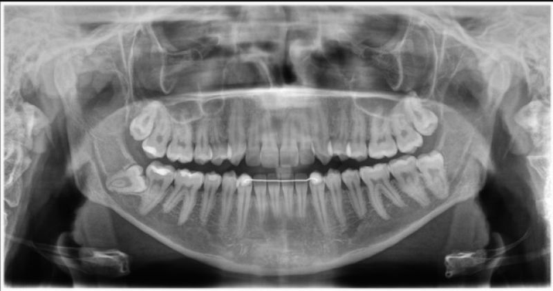
Wann müssen Weisheitszähne entfernt werden?
Da oft nicht genügend Platz im Kiefer vorhanden ist, können Weisheitszähne schräg wachsen, Druck auf die Nachbarzähne ausüben, diese beschädigen oder teilweise im Zahnfleisch stecken bleiben. Dies führt häufig zu Entzündungen, Schmerzen, Karies oder sogar Zystenbildung. Bei derartigen Symptomen ist eine Entfernung nötig, ebenso, wenn die Mundhygiene erschwert ist oder langfristige Schäden an benachbarten Zähnen drohen.
So läuft die Behandlung ab.
Vor der Behandlung wird durch Röntgenbilder die genaue Lage der Weisheitszähne bestimmt. Der Eingriff erfolgt unter lokaler Betäubung, auf Wunsch auch unter Kurznarkose. In vielen Fällen wird das Zahnfleisch geöffnet, und der Zahn kann in Stücken entfernt werden, um das umliegende Gewebe zu schonen. Der Eingriff dauert in der Regel zwischen 20 und 60 Minuten.
Das Resultat.
Die Entfernung von problematischen Weisheitszähnen verhindert zukünftige Beschwerden wie Entzündungen und Schädigungen anderer Zähne. Zudem erleichtert sie die tägliche Mundhygiene, da schwer zugängliche Bereiche im Mundraum besser gereinigt werden können. Langfristig sinkt das Risiko für Karies und Zahnfleischerkrankungen deutlich.